A
Cancer Pain Tutorial
A
Comprehensive Visual Short Course
on Cancer Pain Management |
|
|
| Assessment
of Pain |
|
|
Studies
show that one of the major barriers in delivering adequate pain management
to cancer patients is a poor understanding of pain assessment by physicians.
Pain should be evaluated as any other medical problem is: in an organized,
comprehensive, methodical way. A strategy for approaching pain assessment
is listed here:
-
Detailed
History
-
Review
of Physiologic Systems
-
Physical
Examination
-
Psychosocial
Assessment
-
Diagnostic
Evaluation
-
Family
Conference
-
Reassessment
|
|
 |
The
detailed history should include a review of current medical record,
including radiological studies.
Past medical
history covering the presence of concomitant illnesses, current medications
used, current use of vitamins or natural food products, allergies
to medications, prior medical illnesses no longer under treatment,
and surgical history (exclusive of oncologic illnesses).
An oncologic
history should cover the diagnosis and evolution of disease, history
of therapy to the present, side effects of therapy, and the patient's
understanding of the disease, its therapy, and its prognosis. |
|
 |
| Pain
history includes pre-morbid chronic pain, pre-morbid drug or alcohol
use, vitamins and natureopathies, and evaluation of each pain. In the next
section each physiologic system is hot linked for searching up to date
standards of practice. |
 |
|
|
|
Standard
procedures for a complete physical examination are used. Careful
attention to the neurological examination is essential. Evaluate
for sensory and motor deficits. Look for signs of spinal cord compression
(hyperreflexia, bladder or bowel dysfunction or sensory or motor
loss). Carefully record all pertinent findings.
|
|
|
The
Psychosocial Assessment should include:
- Marital
History
- Residential
Status (who is living in the home)
- Employment
history and employment status
- Educational
background
- Functional
status (activities of daily living, can they focus, sleep, eat?)
- Recreational
activities
- Support
system (identify the primary care giver), and capabilities of spouse/significant
other
|
|
|
|
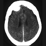
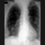
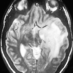
Laboratory
tests may be necessary to arrive at a proper pain diagnosis and to
formulate strategies for intervention.
It
may be necessary to acquire appropriate imaging studies before formulating
a plan of intervention, since without a proper diagnosis, appropriate
interventions cannot be recommended. |
|
|
Reassessment |
 |
Reassessment
of symptoms is an integral part of managing cancer pain. Changes
in the patient's current pain patterns develop.
New pains
that develop should trigger a diagnostic evaluation and a modification
of the treatment plan. |